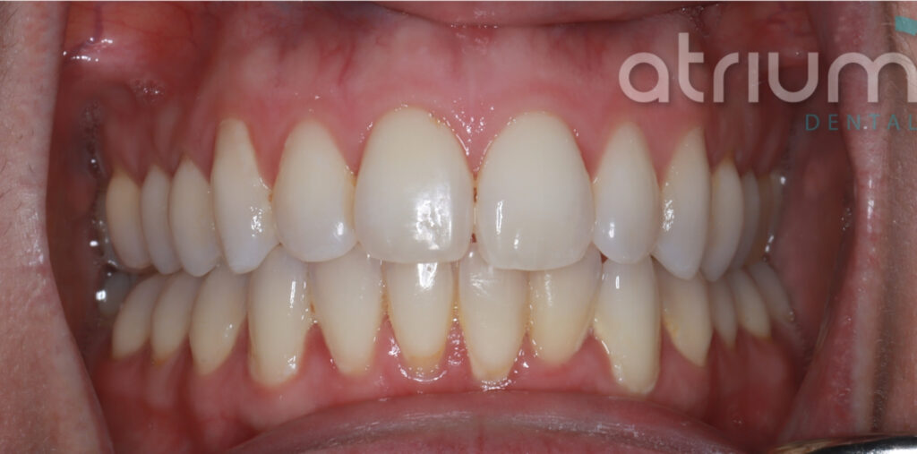
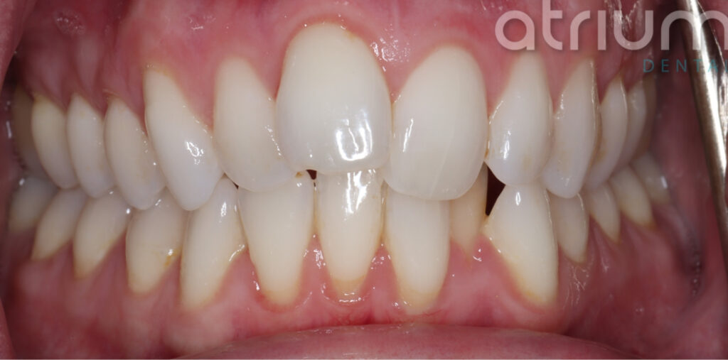
Invisalign Promo Hero
4.9 on Google

Teeth Straightening Open Day
save £1,750 on SureSmile®

14 March 2026 Only. Limited Spots Available.

  • Free digital smile scan – £157.50
  • Free OPG (full jaw X-ray) – £70.00
  • Free home teeth whitening – £472.50
  • Free retainers (fixed + removable) – £1,050

What’s Included in Our SureSmile Open Day Offer

Sign up for SureSmile® treatment at Atrium Dental and enjoy £1,750 of added value included with your treatment as part of our exclusive Open Day offer.

  • FREE digital smile scan (worth £157.50)
  • FREE OPG (full jaw X-ray) (worth £70.00)
  • FREE home teeth whitening kit (worth £472.50)
  • FREE retainers – fixed and removable (worth £1,050)

Your SureSmile® Open Day Journey

Free consultations — limited time only.

STEP 01

Digital Smile Consultation

Begin your SureSmile® Open Day experience with a relaxed, no-pressure consultation at Atrium Dental. Our experienced team will assess your smile, bite, and treatment goals before completing a detailed digital smile scan. Where appropriate, a full jaw radiograph (OPG) is taken to support precise planning, giving you a clear understanding of your suitability and potential outcomes from the very first visit.

STEP 02

Your SureSmile® Treatment Plan

Your SureSmile® treatment is carefully planned using advanced digital technology to ensure predictable, efficient results. As part of our Open Day offer, your treatment includes all the essential elements needed for a complete orthodontic journey — from digital planning and monitoring through to whitening and long-term retention. Everything is explained clearly, with no hidden extras, so you know exactly what’s included from day one.

STEP 03

Begin Your Transformation

Once your aligners are ready, your transformation begins. You’ll wear your SureSmile® aligners as advised while we monitor your progress throughout treatment. Home whitening is introduced at the appropriate stage to enhance your final result, and once treatment is complete, both fixed and removable retainers are provided to protect your new smile long term.

All Inclusive SureSmile® Package

Consultation

Free

£30 holding fee, refunded or put towards treatment.

Learn More

Home Teeth Whitening

Included

Patients who proceed with SureSmile® treatment will receive complimentary teeth whitening (worth £472.50), subject to clinical suitability.

Learn More

Removable Retainers

Included

Free retainers (fixed and removable) – valued at £1050

Learn More

One Arch

£3,150

Finance plans available

Learn More

Dual Arch

£4,725

Finance plans available

Learn More

Meet the team behind your new smile

Dr Matt Golightly
Dr Matt Golightly
Dr Ahmed Al-Baiyaa
Dr Ahmed Al-Baiyaa
Dr Matt Cottam
Dr Matt Cottam

Secure Your Spot at our Open Day

Complete the form below to secure your spot to our March Open Day and a member of our team will be in contact to confirm your appointment.

Name(Required)

Open Day Terms & Conditions

  • Open Day offer is available for a limited time and subject to appointment availability.
  • Offer applies to new SureSmile® treatment cases only.
  • Complimentary items are included only when proceeding with SureSmile® treatment at Atrium Dental.
  • Complimentary items have no cash alternative and are non-transferable.
  • Suitability for treatment will be confirmed following clinical assessment.
  • £300 deposit required on the Open Day to secure the offer.
  • Treatment fees: £3,150 (one arch) / £4,725 (dual arch).
  • Payment plan: £300 on the day, 50% on ordering aligners, £200 every 8 weeks, remaining balance at completion.
  • Failure to maintain payments may result in treatment being paused.
  • Atrium Dental reserves the right to amend or withdraw the offer at any time.
Call Now Book Now